Can a dentist pull an infected tooth?
The dogs ’facial teeth in the upper jaw are just below the eyes. From time to time, these teeth do not fit properly into the brush but will become damaged.
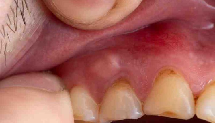
How long does it take for an abscess to heal after a tooth extraction?
Contents
- 1 How long does it take for an abscess to heal after a tooth extraction?
- 2 Can tooth infections spread?
- 3 Which tooth is connected to the heart?
- 4 How do you stop the pain of a tooth infection?
The injury caused by the abscess can take 1 to 2 weeks to heal completely. It depends on the size of the abscess and how well the body responds to incision and drainage.
Can tooth infections spread?
If a toothache is not treated, it can spread to your face and/or neck. Serious infections can spread to distant parts of your body. In rare cases, the disease can be progressive, which can affect many tissues in the body.
Which tooth is connected to the heart?
Heart – Upper and lower three molars (smart teeth)
Which teeth are connected to which part of the body? Infections and canine teeth located on the meridians are associated with the kidney, liver, and gallbladder. The meridians from the bicuspids and molars to the large cane and abdomen.
Are your teeth directly connected to your heart?
Studies of obesity have shown that there is a link between heart disease and diabetes. A recent study linked tooth decay and bleeding to heart problems as well as high blood pressure and high cholesterol.
What teeth affect the heart?
Infectious diseases cause your teeth to fall out of your teeth, which creates a gap down the line where bacteria can hide and grow. From this space, bacteria can enter your bloodstream and travel to the arteries of your heart.
Is there connection between teeth and heart?
Poor dental health increases the risk of a bacterial infection in the bloodstream, which can infect the arteries of the heart. Oral health may be important if you have coronary heart disease. Broken tooth decay is associated with vascular disease.
How does tooth infection affect the heart?
Studies have shown that poor dental health can lead to heart disease. It has been shown that people with infections, tooth decay, broken teeth, and dental diseases have a higher risk of heart problems such as coronary heart disease or stroke. the stroke.
Which tooth is connected to the heart?
Heart â € “Upper and lower three molars (smart teeth)
How do I know if my tooth infection has spread to my heart?
What Are the Symptoms of Dental Disease?
- Feeling unworthy. The first thing you notice is that you start to feel unwell. …
- Fiva. Fever is your body’s most common defense against infection. …
- Swelling. …
- Increased Heart Rate and Breathing. …
- Stop dehydration and abdominal pain.
Can tooth infection spread to your heart?
As such, infections associated with poor oral health, such as gingivitis and periodontitis, can also spread to the heart. Toxic bacteria can enter the bloodstream and can end up in the heart which can cause deadly endocarditis.
Can tooth pain cause heart problems?
An infection in your mouth can cause many oral health problems. According to a 2016 study by the Journal of Dental Research, having an undiscovered dental disease increases your risk of heart disease by 2.7 times.
How do I know if my tooth infection has spread to my heart?
What Are the Symptoms of Dental Disease?
- Feeling unworthy. The first thing you notice is that you start to feel unwell. …
- Fiva. Fever is your body’s most common defense against infection. …
- Swelling. …
- Increased Heart Rate and Breathing. …
- Stop dehydration and abdominal pain.
Can dental problems cause heart problems?
Periodontitis is associated with an increased risk of heart disease. Poor dental health increases the risk of a bacterial infection in the bloodstream, which can infect the arteries of the heart.
Can tooth pain indicate heart problems?
Heart disease and lung cancer can also cause toothache. In some cases, toothache can be a sign of heart disease. Heart and lung disease can cause toothache because of the location of your vagus nerve. This nerve flows from your brain to various organs of your body, including your heart and lungs.
How do you stop the pain of a tooth infection?
A cold compress can help you get relief from the pain and inflammation caused by tooth decay. Use a refrigerator or take a few refrigerators and wrap them in a towel. Place the comma on the swollen area for 15 minutes on top and turn off. You can repeat this solution several times a day.
How can I stop my toothache? For temporary toothache relief, you can do the following:
- Rinse with warm salt water. Salt water can break down debris between your teeth, act as an antiseptic and reduce inflammation. …
- Rinse with hydrogen peroxide. Hydrogen peroxide (3% solution) helps reduce inflammation and pain. …
- Omi malulu. …
- Pain medication.
How do you get rid of a tooth infection at home?
Cut a piece of string about a foot and a half long. Tie one end to the tooth you want to remove. Tie the other end to the key in an open door. Keep it away from the door so that there is turbulence in that string, as if you were taking another step back to pull the tooth out.
Can a tooth infection go away on its own?
Toothache will never go away. You can stop your toothache if an infection is causing the gums to die. The pain stops because the nerve stops working, you may not be able to feel it. However, the virus will continue to spread and destroy the surrounding tissue.
What kills tooth infection?
Your dentist will want to choose a vaccine that can effectively clean up your infection. Drugs of the penicillin class, such as penicillin and amoxicillin, are often used to help treat dental disease. A drug called metronidazole can be given for some types of infections.
Comments are closed.